ویکسین لگانے کے بعد اگر کورونا ہوجائے تو وائرس مریض کو زیادہ متاثر نہیں کرسکتا ہے، طبی ماہرین کے مطابق کورونا ویکسین کورونا وائرس کے خطرناک وار سے بچانے کے لیے بےحد ضروری ہے۔
ہیلتھ سینٹ لوئس یونیورسٹی کے آسی یو کے ہیڈ ڈاکٹرکمیل اب تک ہزاروں کی تعداد میں کورنا متاثرین کا علاج کر چکے ہیں۔ ان کا کہنا ہے کہ اگر آپ کو ماسک لگانا نہیں پسند تو یقینا آپ کو وینٹی لیٹر پر جانا بھی پسند نہیں ہوگا۔
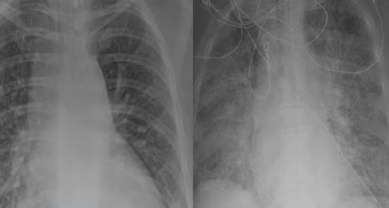
ڈاکٹر نے ویکسین شدہ افراد کے پھیپھڑوں میں آکسیجن کی آمدورفت دکھانے کے لیے دو ایکسرے کے نمونوں کا موازنہ پیش کر کے ویکسین کی اہمیت کو اجاگر کیا ہے۔
بغیر حفاظتی ٹیکے والے مریض کے پھیپھڑوں کا ایکسرے مکمل طور پر سفید آیا، جو ظاہر کرتا ہے کہ وہ وائرس سے اس قدر بھرا ہوا ہے کہ بری متاثر ہو چکا ہے۔ جبکہ یہ اعضاء میں داخل ہونے والی آکسیجن کی کمی کی بھی پیش گوئی کرتا ہے، جس سے سانس لینے میں دشواری پیدا ہونے کے بعد مریض کو وینٹی لیٹر کی ضرورت پڑ سکتی ہے۔
لیکن کورونا میں مبتلا ہونے کے بعد ویکسینیٹڈ افراد کے پھیپھڑوں کے سکین میں زیادہ تر جگہ سیاہ ہی تھی جس کا مطلب ہے کہ یہاں آکسیجن کی کوئی کمی نہیں اور زیادہ تر حصے پر وائرس کوئی اثر نہیں کر سکا ہے۔
پھیپھڑوں میں انفلیمیشن کے سبب سانس کی شدید تکلیف پیدا ہوتی ہے اور جسم میں ضرورت کے مطابق آکسیجن نہیں پہنچ پاتی۔ اس کی وجہ سے گردوں کی صفائی کا عمل رک جاتا ہے اور آنتوں کی تہیں خراب ہو جاتی ہیں۔
ماہرین کا کہنا ہے کہ سب سے پہلے وائرس ان خلیوں کو متاثر کرتا ہے جو آپ کے گلے، سانس کی نالی اور پھیپھڑوں میں ہوتے ہیں اور انھیں ‘کورونا وائرس کی فیکٹریوں’ میں تبدیل کر دیتا ہے جو مزید ایسے وائرس پیدا کرتی ہیں جن سے مزید خلیے متاثر ہوتے ہیں، جس سے کئی اعضا کام کرنا بند کر دیتے ہیں۔
لیکن کورونا ویکسین آپ کے جسم کے مختلف اعضا کو وائرس سے لڑنے میں مدد فراہم کر سکتا ہے۔
امریکی سینٹر فار ڈیزیز کنٹرول اینڈ پریوینشن کی رپورٹ کے مطابق ویکسین لگوانے والے 90 فیصد سے زائد افراد شدید نوعیت کے بیمار نہیں ہوتے، لیکن وائرس کو آگے بڑھانے کے لیے خطرناک ثابت ہو سکتے ہیں۔























































































